乳腺MRI検査
2025/10/16
那珂川市のクリニック 吉田クリニックです
本日RKBの「タダイマ!」にて当院の乳腺MRI検査が紹介されました。
乳腺の健診は、マンモグラフィ、乳腺エコーで行われることが一般的ですが、マンモグラフィは痛みがあり、死角もある検査になります。
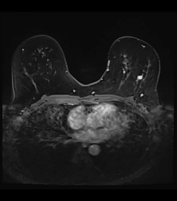
乳腺MRI検査は、痛みもなく、着衣のままで検査を受けることができます。死角もなく、マンモグラフィよりも正確な診断が可能と思われます。
乳腺MRI検査は、非常によい検査と思われますが、保険適応が、「乳癌の診断がついた上での精査」となっています。つまり、医療保険を使って乳腺MRI検査を受けるには、生検にて癌の診断が付いておかないといけません。
そのため、当院では、人間ドック(保険外の自費診療)での乳腺MRI検査を行っております。病変をより正確に描出するために、造影剤を用いた乳腺MRI検査も行っております(なお、造影剤を用いる際には、腎機能の評価が必要ですので、3ヶ月以内の採血検査結果を持ってきていただくか、当院での迅速検査を受けて頂くことが必要になります)。
なお、当院では結果の説明を当日検査終了後に行っております。結果を記載した用紙も当日お渡ししております。
MRIにて乳腺を検査してみたいと思われる方は、是非ご連絡頂ければと存じます。
----------------------------------------------------------------------
吉田クリニック
〒811-1213
福岡県那珂川市中原4-53-2
電話番号 : 092-985-9730
安心の人間ドックを那珂川市で
MRI検査で那珂川市に安心を
健診で那珂川市に安心を提供
----------------------------------------------------------------------
